患者様との円滑なコミュニケーションのもと、現状の問題点と解決のカードの長所短所をご理解して頂いた上で治療を始めさせていただくことをモットーとしております。
当院は 患者様のお役に立つ歯科医院 を目指しております。

卒後、大阪大学の口腔外科での研鑽を経ているため、抜歯(親知らず含め)などお口の外科的な処置が得意ですが、可能な限り抜歯せずにすむ、ご自身の歯が長持ちする方法を考えていきたいと考えています。
高額なインプラントを前面に押し出されるクリニックのHPも数多く見られますが、当院ではあくまでも 患者様の選択肢のひとつとしてのインプラント と考えております。

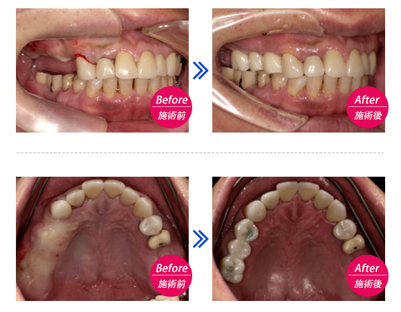
気になる所をきれいにしたい

お口の状態により色々なケースがありますので受診が必要な場合がありますが、お気軽にご相談下さい。
矯正治療が必要な場合には、信頼のおける先生への紹介を行っております。
